FRISK: Selv med diagnosen HD (hofteleddsdysplasi) kan mange hunder leve aktive og glade liv som jakt- og turkamerater - god forebygging er nøkkelen. Arkivfoto: Therese Norman Andersen
Lesetid: 4 minutter
HD er en forkortelse for lidelsen «hofteleddsdysplasi», og er en utviklingsfeil i hofteleddene som kan oppstå i et eller begge hofteleddene. Tilstanden oppstår når hofteleddet ikke utvikler seg normalt, og resultatet blir at hofteskålen og lårhodet ikke passer til hverandre.
Dette resulterer i slark og slitasje i leddet over tid, det kan også dannes sekundærforandringer rundt leddet i form av forkalkninger. Symptomer på denne lidelsen kan være smerter, stivhet og nedsatt bevegelighet i hofteledd, men med stor individuell variasjon.
Hvorfor får noen hunder HD?
HD er en lidelse som er arvelig betinget, selv om det også foreligger flere kjente og ukjente miljøfaktorer. Utviklingen skyldes en kombinasjon av arv og miljø, men likevel antar man at hunder ikke utvikler HD med mindre det foreligger en arvelig disposisjon.
Det betyr også at en hund ikke trenger å utvikle HD til tross for at den kan være arvelig disponert. Rask vekst, overvekt og overdreven mosjon i ung alder kan øke risikoen for å utvikle HD.
Samtidig er inaktivitet og feil inntak av næringsstoffer heller ikke bra for utvikling av ledd. Derfor er det viktig at valper får et balansert kosthold og en tilpasset mengde variert, fysisk aktivitet for å sikre en normal utvikling av leddene. Mange hunder utvikler likevel HD selv om eier har gjort alt «riktig» for å unngå denne lidelsen.
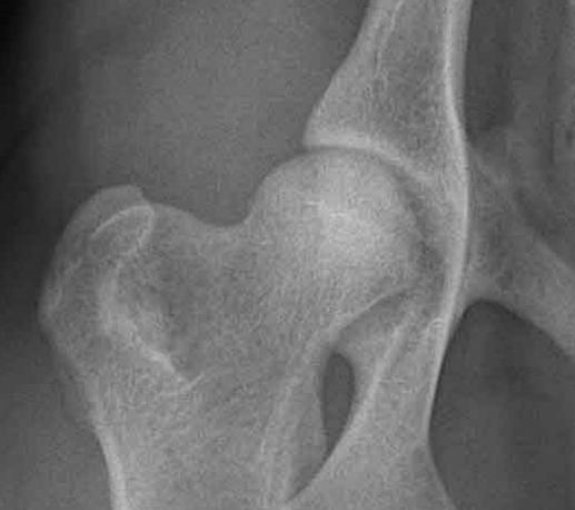
HD FRI: Røntgenbilde av normalt hofteledd som er HD-fri (A) uten forkalkninger.
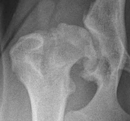
HD E: Røntgenbilde av unormalt hofteledd med sterk grad HD (E) og betydelige artroser.
Symptomer
Symptomene på HD kan variere fra milde til alvorlige, og det er stor individuell variasjon i hvordan lidelsen utvikler seg. Noen hunder viser tegn allerede i ung alder, mens andre først utvikler problemer når de blir eldre.
Spesielt hvis det er utviklet sekundære forandringer i og rundt hofteleddet, kan det oppstå symptomer allerede tidlig i hundens liv. Likevel opplever mange eiere at hunden deres kan leve et langt, lykkelig liv som jakthund selv om den har HD.
Typiske symptomer på HD kan være:
Stivhet eller motvilje mot å bevege seg
Halthet, spesielt etter aktivitet
Problemer med å reise seg opp
Vaggende gange eller korte skritt
Symptomer vil i mange tilfeller variere med hvilken grad av lidelsen hunden er diagnostisert med, og spesielt sterk og middels grad av HD vil i mange tilfeller medføre at aktive hunder vil vise noen av de nevnte symptomer.
Det er også andre faktorer som virker inn, eksempelvis kan veldig stor jaktlyst «kamuflere» noen av hundens symptomer, slik at eier ikke opplever HD som et problem for hunden i aktivitet.
På grunn av ubehag og mindre fleksibilitet i hofteledd, vil man gjerne se at hunder med HD bruker kortere steg med bakbeina, ettersom hofteledd blir stivere. Dette medfører kortere fraspark og mindre effektivt løpssett, sammenlignet med hunder som har normalt utviklede hofteledd.
Når anbefales røntgenbilder av hofteledd?
Dersom hunden halter eller viser andre symptomer på smerte eller ubehag fra hofteledd, og veterinæren anbefaler røntgen for å bekrefte eller avkrefte en diagnose
Dersom screening-undersøkelse av hunderasen din anbefales av raseklubben/NKK
Ved seleksjon eller kjøp/salg av verdifulle individer, for eksempel hunder som skal trenes systematisk og brukes aktivt i et langt liv som jakt-, bruks- eller tjenestehund
Diagnose og behandling
Diagnosen stilles ved hjelp av klinisk undersøkelse og røntgenbilder som vurderer hofteleddets utforming og eventuell slitasje, med eller uten forkalkninger. Det finnes ulike grader av denne defekten, og røntgenavlesning av hofteleddene graderes i Norge (NKK/FCI) etter følgende skala: Fri (A, B), svak (C), middels (D) eller sterk (E) grad av HD.
Behandlingen avhenger av hvor alvorlig tilstanden er. I milde tilfeller kan vektreduksjon, tilpasset mosjon og kosttilskudd som styrker leddene være nok til å holde hunden smertefri. Det er viktig at hunder med HD får variert, tilpasset trening, slik at muskelmassen opprettholdes.
Fysioterapi og rehabilitering kan ha god effekt. Det finnes også forskjellige typer effektive medisiner og forebyggende oppfølging som kan hjelpe hunder til et bedre og lenger liv som jakthund, selv om de har begynt å vise symptomer.
Ved alvorlig grad av HD med smerter og store bevegelsesproblemer, kan kirurgiske inngrep som hofteoperasjon eller proteser være aktuelt for å gi hunden bedre livskvalitet. Dette er kompliserte, kostbare inngrep på hund, og det er viktig at eier og veterinær diskuterer fordeler og ulemper med denne type inngrep grundig på forhånd.
Forebygging og avl
Ettersom HD er arvelig, er det viktig at oppdrettere følger raseklubbens råd og retningslinjer for avl, for mest mulig kunnskap og de beste forutsetninger for mindre forekomst av denne lidelsen. Som valpekjøper anbefales det å kjøpe valp etter kull som raseklubben anbefaler.
Spesielt i raser hvor denne lidelsen er et problem, kan man eksempelvis se på foreldredyrenes HD-indeks slik at man kjøper en valp med god prognose for bedre helsestatus enn gjennomsnittet av rasen.
Som hundeeier kan du bidra til forebygging ved å gi valpen riktig ernæring, unngå overvekt og sørge for variert, tilpasset mosjon etter hundens alder og utvikling.
Konklusjon
HD kan være en utfordrende diagnose for både hund og eier, men med riktig oppfølging kan mange hunder likevel leve et langt og aktivt liv som en velfungerende jakt- og treningskamerat. Tidlig diagnose og god forebygging som å holde hunden slank med tilpasset oppfølging, er viktig for å sikre hundens livskvalitet og bruksegenskaper.
Denne saken er skrevet av
Svein Stueland
Veterinær, PhD ved K9 Nannestad Dyreklinikk
Utover veterinærutdannelsen og en doktorgrad i mykologi er Svein Stueland videreutdannet innen veterinærmedisin på smådyr og sportsmedisin på hund. Svein jobber mest med halthetsutredning og røntgenundersøkelser på aktive hunder. Han jobber også ved Forsvarets Hundeskole, der han jobber med behandling og forebygging av skader. Han er aktiv med sine pointere til trening, jakt og jaktprøver.
Avl på hund i målrettet form gjør det mulig å få frem friske og funksjonelle jakthunder. Statistikk fra 5000 elghunder viser at tisper presterer bedre enn hannhunder på bandhundprøver.
Du hører begrepet belønningsbasert hundetrening, og tenker kanskje umiddelbart på godbiter, men det er så mye mer. Boken “Før det smeller” av Ida Sollie viser deg hvordan belønningsbasert hundetrening fungerer.
Non-stop Dogwear Protector vest GPS er et rimelig jaktdekken, eller rettere sagt en GPS-vest som sikrer hundepeileren optimal plassering øverst på ryggen. Den har noen forbedringspunkter.
I noen tilfeller kan det være nødvendig med medisinsk behandling, andre ganger vil en gjennomgang og behandling av bevegelsesapparatet og hundemassasje være mer hensiktsmessig. Dersom du mistenker at hunden har vondt eller har uregelmessigheter i kroppen, skal alltid en veterinær kontaktes.
Allerede abonnent?
Hold deg oppdatert gjennom året, og få de beste jakttipsene før sesongen starter for fullt.
Med magasinKun digitalt
99 kr/md i 12 md*
+ 9 utgaver av magasinet Jeger
119 kr/md i 3 md*
+ 2 utgaver av magasinet Jeger
*Forutsetter 6 eller 12 måneder bindingstid. Kanselleres når du vil, med tilgang ut bindingstiden. Fornyes automatisk hver måned etter bindingstiden.
Er du under 28 år?
Da får du halv pris på jeger.
Slik fungerer det:Betal med Vipps, del fødselsdatoen din med oss og få halv pris fram til du fyller 28 år. Når du har fylt 28 år endrer vi til vanlig pris, og sender deg et varsel i forkant.
Alle abonnement fornyes automatisk til ordinærpris. Kanseller når du vil, men senest 48 timer før fornyelse. Se Fri Flyts bruker- og abonnementsvilkår her.